U tinh hoàn có nguy hiểm không là lo lắng của nhiều nam giới. Mặc dù phần lớn các u tinh hoàn là lành tính, nhưng trong một số trường hợp các khối u có thể tiến triển thành ác tính (ung thư tinh hoàn) và nhiều biến chứng nghiêm trọng khác nếu không được phát hiện và điều trị kịp thời.

U tinh hoàn có thể không gây nguy hiểm trực tiếp đến tính mạng người bệnh. Tuy nhiên nếu không được phát hiện sớm và điều trị kịp thời, u tinh hoàn có thể tiến triển thành ung thư, từ đó làm suy giảm sức khỏe và ảnh hưởng nghiêm trọng đến khả năng sinh sản của nam giới.
Hiện nay, các trường hợp bị u tinh hoàn có thể chữa được nếu được phát hiện trong giai đoạn đầu. Nếu không được phát hiện sớm và có biện pháp can thiệp kịp thời, khối u có thể tiến triển nhanh và di căn đến bộ phận khác trên cơ thể, gây ra các biến chứng nghiêm trọng ảnh hưởng trực tiếp đến sức khỏe tổng thể và khả năng sinh sản của nam giới.
Mức độ nguy hiểm của u tinh hoàn phụ thuộc vào loại u và thời điểm phát hiện bệnh.
U tinh hoàn lành tính thường khu trú tại tinh hoàn và không có khả năng di căn hay phát triển thành ung thư, do đó thường không gây nguy hiểm nghiêm trọng đến sức khỏe người bệnh và có thể được điều trị hiệu quả khi phát hiện sớm.
U tinh hoàn ác tính, hay còn gọi là ung thư tinh hoàn là loại u có khả năng phát triển nhanh chóng, xâm lấn sang các mô xung quanh hoặc di căn đến các bộ phận khác trong cơ thể. Nếu không được phát hiện và điều trị kịp thời, ung thư tinh hoàn sẽ gây đau đớn nghiêm trọng, khiến người bệnh suy kiệt và thậm chí tử vong. Tuy nhiên, nếu được phát hiện và điều trị kịp thời bằng phẫu thuật, hoá trị hoặc xạ trị, tỷ lệ chữa khỏi bệnh vẫn rất cao.

Khi kiểm tra tinh hoàn, nếu sờ thấy có khối u hoặc nốt sưng ở một hoặc cả hai bên tinh hoàn kèm theo cảm giác khó chịu, đau bất thường, đừng chần chừ mà hãy đi khám ngay.
Các bác sĩ chuyên khoa Nam học sẽ chỉ định các bước kiểm tra chuyên sâu nhằm xác định xem liệu đây có phải là u tinh hoàn hay không. Bên cạnh đó, việc thăm khám cũng giúp xác định được kích thước, vị trí và tính chất của khối u ngay từ sớm, từ đó hỗ trợ bác sĩ đưa ra phương án điều trị phù hợp. Nếu được điều trị sớm, tỷ lệ chữa khỏi là rất cao.
Để đánh giá mức độ nguy hiểm, quy trình chẩn đoán u tinh hoàn bao gồm các bước sau:
Đầu tiên bác sĩ sẽ yêu cầu người bệnh mô tả các triệu chứng và các biểu hiện bất thường như cảm giác đau hoặc sự thay đổi kích thước tinh hoàn. Sau đó, bác sĩ sẽ thực hiện khám lâm sàng bằng cách sờ vào tinh hoàn để tìm kiếm dấu hiệu của khối u, nốt sưng… Qua thăm khám, nếu có các dấu hiệu nghi ngờ bác sĩ sẽ chỉ định các bước kiểm tra chuyên sâu hơn nhằm đánh giá chính xác tình trạng bệnh. (1)
Siêu âm được sử dụng để xem xét cấu trúc bên trong bìu, vùng bụng dưới để kiểm tra có sự hiện diện của các khối u đáng ngờ ở tinh hoàn hay không, đồng thời qua kết quả siêu âm cũng đánh giá được kích thước, vị trí và tính chất của khối u.
>> Giải đáp: Siêu âm có phát hiện ung thư tinh hoàn không?
Đây được xem là một phần quan trọng trong việc chẩn đoán u tinh hoàn. Phương pháp này giúp xác định sự hiện diện của các chất chỉ điểm ung thư, bao gồm AFP, β-hCG, LDH… Nếu kết quả cho thấy các chất này tăng quá mức trong máu có thể chỉ ra sự hiện diện của ung thư tinh hoàn cũng như cung cấp thông tin về mức độ tiến triển của bệnh.
Xét nghiệm này dùng để kiểm tra người bệnh có mắc bệnh lây truyền qua đường tình dục hay không qua mẫu máu.
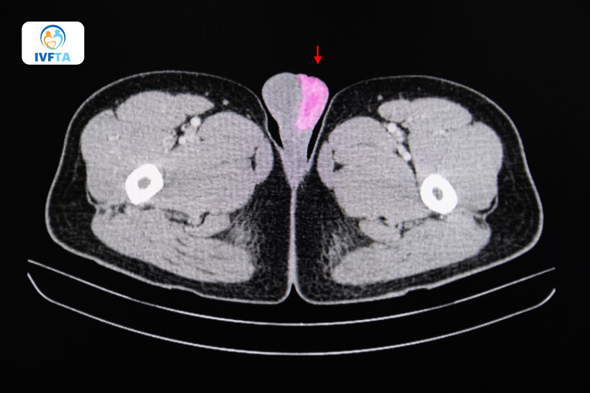
Khi kết quả xét nghiệm nghi ngờ có u tinh hoàn ác tính, bác sĩ sẽ yêu cầu người bệnh thực hiện chụp CT vùng ngực, bụng và bẹn để đánh giá xem khối u có di căn sang cơ quan hoặc mô xung quanh hay chưa, qua đó xác định mức độ lan rộng của u tinh hoàn và đưa ra hướng điều trị phù hợp.

Chụp MRI có thể cung cấp hình ảnh chi tiết hơn so với chụp CT, từ đó giúp bác sĩ xác định chính xác vị trí và tính chất của khối u.
Dựa trên vị trí, tính chất khối u và tình trạng của bệnh nhân mà bác sĩ sẽ có chỉ định điều trị phù hợp.
Đối với u tinh hoàn lành tính, nếu không có dấu hiệu nhiễm trùng hoặc ảnh hưởng đến sức khỏe sinh sản hay đời sống tình dục, việc can thiệp có thể không cần thiết. Tuy nhiên, nếu khối u gây đau, sưng tấy hoặc có triệu chứng khó chịu ảnh hưởng đến sinh hoạt hàng ngày của người bệnh thì bác sĩ có thể chỉ định sử dụng thuốc kháng sinh để kiểm soát các triệu chứng và cải thiện tình trạng bệnh.
Trong trường hợp u tinh hoàn được chẩn đoán là ung thư, việc điều trị cần được tiến hành càng sớm càng tốt để ngăn ngừa biến chứng, đặc biệt để hạn chế khả năng di căn sang các cơ quan khác. Tùy vào tình trạng sức khỏe, tuổi tác và mức độ tiến triển của bệnh, người bệnh có thể được chỉ định một số phương pháp điều trị sau:

Tỷ lệ u tinh hoàn tiến triển sang ung thư có cao hay không còn phụ thuộc vào loại u và mức độ phát triển của bệnh. Khoảng 95% trường hợp u tinh hoàn là u tế bào mầm và được chia thành hai loại là Seminoma và Non-seminoma.
Trong đó, Non-seminoma thường có khả năng tiến triển thành ung thư cao hơn vì khả năng phát triển nhanh và dễ di căn đến các cơ quan khác. Mặc khác, Seminoma có đặc điểm khá nhạy cảm với hóa trị và xạ trị nên tiên lượng điều trị tương đối tốt nếu được phát hiện sớm.
U tinh hoàn có thể chữa khỏi được, đặc biệt nếu được phát hiện và điều trị ở giai đoạn sớm. Ngay cả với những trường hợp có u tinh hoàn ác tính, nếu phát hiện kịp thời và điều trị đúng cách, tỷ lệ khỏi bệnh có thể lên đến 98%. (2)
Hầu như các trường hợp sau khi điều trị u tinh hoàn đều hồi phục tốt và không ảnh hưởng đến sức khỏe, đặc biệt rất hiếm khi bệnh tái lại sau hơn 5 năm chẩn đoán.
Đơn vị Nam khoa – Hiếm muộn, thuộc trung tâm Hỗ trợ sinh sản, IVF Tâm Anh là địa chỉ uy tín cung cấp dịch vụ thăm khám và điều trị u tinh hoàn an toàn và hiệu quả. Với đội ngũ chuyên gia, bác sĩ giỏi chuyên môn, giàu kinh nghiệm cùng hệ thống trang thiết bị y tế hiện đại, giúp nâng cao hiệu quả điều trị và đảm bảo an toàn cho người bệnh.
Ngoài ra, với hệ thống phòng khám hiện đại và quy trình thăm khám nhanh chóng, tinh gọn, IVF Tâm Anh mang đến sự thoải mái, bảo mật tuyệt đối cho bệnh nhân trong suốt quá trình thăm khám và điều trị. Từ đó giúp nam giới yên tâm hơn, giảm lo lắng khi thăm khám và điều trị tại vùng nhạy cảm.

Để đặt lịch thăm khám và kiểm tra u tinh hoàn tại Trung tâm Hỗ trợ sinh sản, BVĐK Tâm Anh, quý khách hàng vui lòng liên hệ qua thông tin dưới đây:
HỆ THỐNG BỆNH VIỆN ĐA KHOA TÂM ANH
Hy vọng những thông tin từ bài viết đã giúp bạn đọc giải đáp được thắc mắc “U tinh hoàn có nguy hiểm không?”. Nhằm giúp phát hiện sớm các dấu hiệu u tinh hoàn, nam giới nên duy trì thói quen tự kiểm tra tinh hoàn tại nhà. Khi có bất kỳ dấu hiệu bất thường như sưng, đau, tinh hoàn to hơn bình thường… nên đi khám ngay để được chẩn đoán chính xác và có cách điều trị kịp thời.